ทันตกรรมจัดฟันแบบใส: เหมาะกับใครบ้าง? (พร้อมตัวอย่างดาราดังระดับโลก)
รวมเคสจัดฟันแบบใส พร้อมตัวอย่างดาราดังที่เลือกจัดฟันใส เหมาะกับใครบ้าง ดูข้อดีและข้อควรรู้ที่นี่
ให้บริการปริทันต์วิทยาและเลเซอร์เหงือก ครอบคลุมการรักษาโรคเหงือก ขูดหินปูน และฟื้นฟูสุขภาพเหงือกโดยทันตแพทย์เฉพาะทาง
บริการทันตกรรมจัดฟันโดยทีมทันตแพทย์ผู้เชี่ยวชาญ ครอบคลุมจัดฟันแบบโลหะ จัดฟันใส และการวางแผนรักษาเพื่อรอยยิ้มที่มั่นใจ
บริการฟันปลอมและวีเนียร์ เคลือบฟันเพื่อความสวยงามและแก้ไขรูปร่างฟัน ครอบคลุมฟันปลอมถอดได้ ติดแน่น ครอบฟัน และวีเนียร์ โดยทันตแพทย์ผู้เชี่ยวชาญ
บริการทันตกรรมรากเทียมโดยทันตแพทย์เฉพาะทาง เพื่อฟันที่สวยงามและใช้งานได้เหมือนธรรมชาติ
คลินิกทันตกรรมหมอเล็ก ก่อตั้งขึ้นด้วยความตั้งใจที่จะมอบรอยยิ้มและสุขภาพช่องปากที่ดีที่สุดให้กับทุกคน หมอเล็กดูแลคนไข้ด้วยความจริงใจ ใส่ใจทุกรายละเอียด ด้วยประสบการณ์และรางวัลมากมาย สร้างความมั่นใจให้กับคนไข้ว่าได้รับการดูแลเหมือนคนในครอบครัว
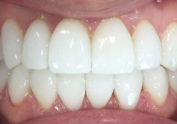
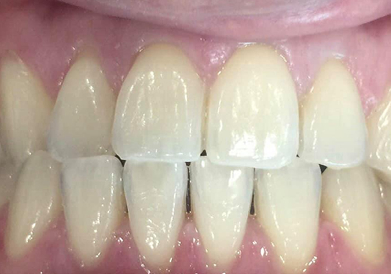
เจอคลินิกทันตกรรมหมอเล็ก โทรไปสอบถามราคาก็มิตรภาพมากๆ ดูจากรูปรีวิวในเว็บก็โอเค เลยจัดการนัดทำเลย คุณหมอเล็กน่ารักมาก พูดเพราะ มือเบาสุดๆ ไม่มีความเจ็บเลย ปลื้มมมมมม ภาพหลังทำประมาณ 1 เดือนค่ะ ยิ้มกว้างๆ มั่นใจขึ้นเยอะเลย
ฟันโยก ยังไม่เท่าใจโยก แต่ถ้าใจไม่อยากโยกไปคลินิกไหนบ่อยๆ ต้องที่นี่เลย! Lek Dental Clinic
ทำดีมากๆ เลยครับ ไม่เจ็บ ออกมาสวยเลย
ขอบพระคุณ หมอเล็ก ทำให้ป้าอรยิ้มได้สวยสดใส สวยได้ในช่วงปลายย.. ชีวิต
รวมเคสจัดฟันแบบใส พร้อมตัวอย่างดาราดังที่เลือกจัดฟันใส เหมาะกับใครบ้าง ดูข้อดีและข้อควรรู้ที่นี่